• Wtorek, 10 marca 2026

    imieniny: Cypriana, Marcelego

Świat

Dyskryminacją Telewizji Trwam zajmie się Komisja LIBE

Czwartek, 15 listopada 2012

Komisja Wolności Obywatelskich, Sprawiedliwości oraz Spraw Wewnętrznych zajmie się sprawą Telewizji Trwam


USA zwiększają pomoc dla uchodźców z Syrii

Czwartek, 15 listopada 2012

Blisko 200 mln dolarów – tyle wynosi pomoc Stanów Zjednoczonych na rzecz Syrii


Protesty sparaliżowały Europę

Czwartek, 15 listopada 2012

Strajki generalne w najbardziej dotkniętych kryzysem finansowym krajach


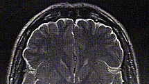
Nadzieja dla osób w śpiączce

Środa, 14 listopada 2012

Mężczyzna od 12 lat pozostający w stanie wegetatywnym udowodnił, że jest świadomy


Syryjscy uchodźcy żyją w nędzy

Środa, 14 listopada 2012

Ksiądz kardynał Robert Sarah alarmuje, że sytuacja syryjskich uchodźców jest tragiczna


Islamscy radni żądają prawa szariatu w Belgii

Wtorek, 13 listopada 2012

Nowo wybrani muzułmańscy radni zapowiedzieli wdrożenie islamskiego prawa szariatu w Belgii


Nie patrzyli, że w tłumie są dzieci

Wtorek, 13 listopada 2012

Kanadyjskie media skrytykowały działania polskiej policji podczas Marszu Niepodległości


Komisarz - tylko nie katolik

Wtorek, 13 listopada 2012

Lewackie i homoseksualne środowiska prowadzą oszczerczą kampanię wymierzoną w kandydata Malty


Zaciskają pasa... i nic

Wtorek, 13 listopada 2012

Strefa euro nie spieszy się z wyasygnowaniem funduszy pomocowych dla Grecji


"Die Welt": Komu zależało na śmierci polskiego prezydenta?

Poniedziałek, 12 listopada 2012

Czyżby Rosji zależało na śmierci Lecha Kaczyńskiego? - pyta niemiecki dziennik


Nagła dymisja szefa CIA

Poniedziałek, 12 listopada 2012

Dyrektor amerykańskiej Centralnej Agencji Wywiadowczej podał się do dymisji


Uchodźcy z Syrii czekają na pomoc

Niedziela, 11 listopada 2012

Zakończyła się bliskowschodnia misja humanitarna przewodniczącego Papieskiej Rady „Cor Unum”


Obama nie zadzwonił

Sobota, 10 listopada 2012

Po zwycięstwie w wyborach Barack Obama obdzwaniał najbliższych sojuszników USA. Do Komorowskiego nie zadzwonił


Rozdźwięk między USA a Europą

Piątek, 9 listopada 2012

Europejscy eksperci są sceptycznie nastawieni do drugiej kadencji prezydenta Obamy


Czesi zwrócą zagrabione mienie

Czwartek, 8 listopada 2012

Czeska izba poselska ponownie zatwierdziła rządową propozycję restytucji mienia kościelnego